6 tips om gaatjes (cariës) te voorkomen. Poets je tanden 's ochtends voor of na het ontbijt met (fluoride) tandpasta. Poets je tanden voor het slapen gaan, na het poetsen is het belangrijk om niets meer te eten of te drinken. Water drinken mag altijd. Te vaak eten en drinken is slecht voor de tanden en kiezen, eet en drink daarom maximaal 7.. Gaatjes in je tanden en kiezen voorkomen. Gaatjes (ook wel cariës genoemd) in je kies of tand leiden soms al tot kiespijn, een slechte adem en verkleuringen van de tanden. Alsof dat al niet erg genoeg is, zit je natuurlijk ook niet op een extra tandartsbezoek te wachten. Ben jij gevoelig voor een gaatje in je kies of tand?

Gaatjes Medische Forum Dokter.nl

hoe zien neten eruit Mistery LLC

Chirurgische Tandheelkunde MKA Kennemer & Meer

Hoe zien de cellen van een ajuinvlies eruit onder de microscoop? YouTube

Hoe zien teken eruit en hoe ga je ermee om? Uitgelaten Hond

Dit gebeurt er als je een gaatje in je tand negeert Viral Online

Kiezen
Gaatjes Cariës, wat is het en hoe is het te voorkomen?

Geen gaatje wordt overgeslagen Telegraph
.jpg)
Kan geen gaatjes zien op de foto, maar zou er wel hebben?? Tandarts.nl Forum

Gaatjes In Tanden En Kiezen Hoe Kan Ik Ze Herkennen? Tandartspraktijk Villa Westhof

Gaatje of geen gaatje? Tandarts.nl Forum

Hoe wordt een gaatje in je kies gevuld? Willem Wever

Alles wat je wil weten over gaatjes laten schieten in je oren Lifestyle by Techkoningin

Hoe zien jouw wenkbrauwen eruit? Coloridentity.nl

Gaatjes hoe ontstaan ze en (hoe) kun je ze genezen? Beautyreview.nl

Próchnica, skazana na wymarcie, czuje się całkiem dobrze

Hoe zien rouwvliegjes eruit?

HOE TANDEN TE BLEKEN MET 'ACTIEVE HOUTSKOOL' YouTube

Hoe ziet jouw poep eruit?
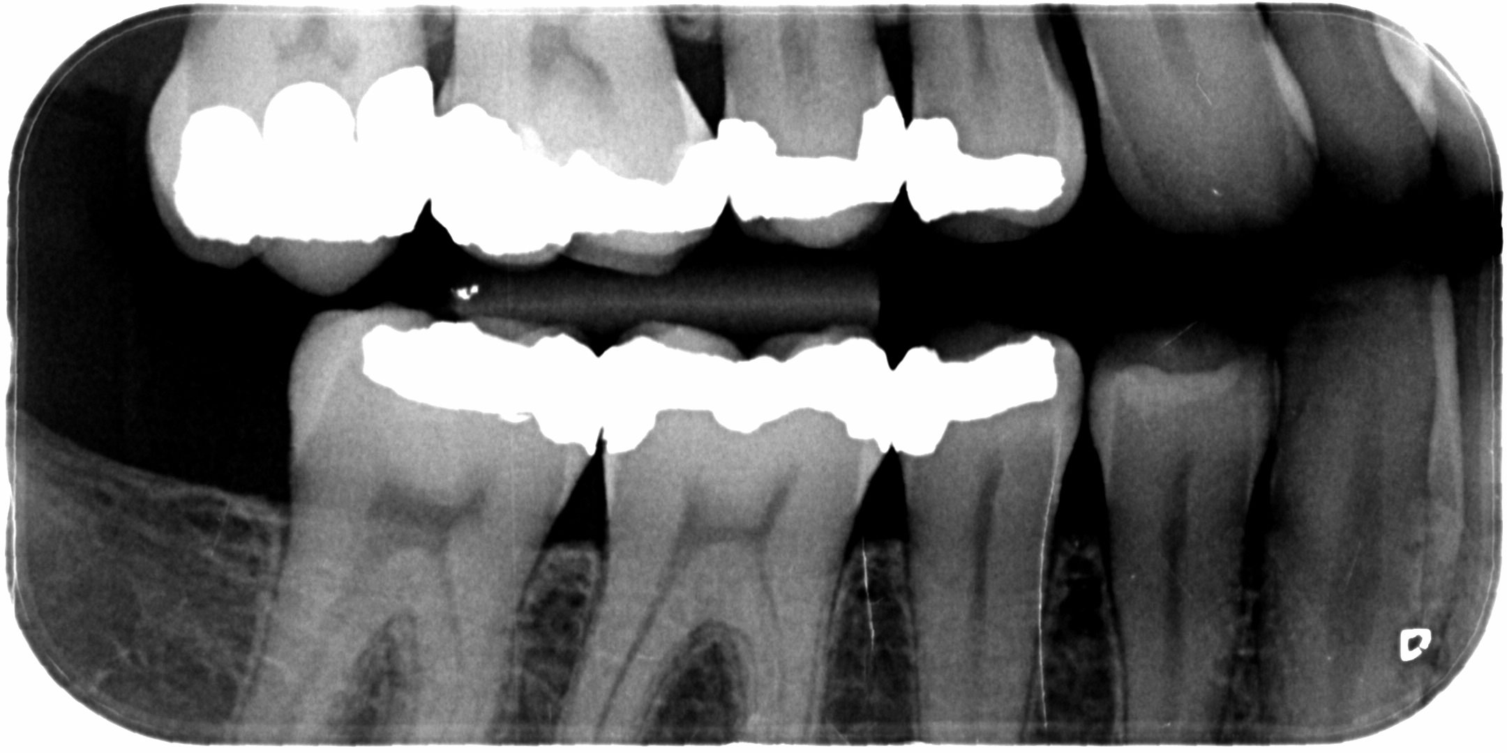
Hoe zien gaatjes eruit in je kiezen? Een gaatje in een tand of kies kan eruitzien als een donker of juist wit vlekje. In de beginfase van een gaatje is er meestal geen pijn. Echter, als de tandbederf verergert, kan het wel gevoelig worden en ongemak veroorzaken bij het eten of drinken van warme of koude voedingsmiddelen en drankjes.. Het ontstaan van een gaatje en andere aandoeningen. Eet je vaak suiker, dan doet het proces van verzuring zich dus ook regelmatiger voor. Er kunnen dan gaatjes ontstaan. Poets je daarnaast niet goed, dan heb je sneller last van tandsteen. Deze twee aandoeningen kunnen samen uitmonden in kiespijn en uiteindelijk zelfs in een wortelpuntontsteking.