TC abdominal y pélvica. 00:00. 00:00. La tomografía computarizada (TC) del abdomen y la pelvis es un examen de diagnóstico por imágenes. Existen varios usos para una TC de su abdomen y pelvis. Su médico podría pedir este examen cuando está buscando piedras en los riñones, otras causas de dolor abdominal o náusea/vómitos (incluyendo.. 2.1. Indicaciones para la preparación de la prueba • En caso de que sea el TAC con contraste, acudir correctamente hidratado a la prueba (se recomienda beber 2 vasos de agua antes la prueba). • Cuando el TAC sea o incluya Abdomen, debe acudir con la vejiga llena para una valoración correcta. • Vestir con ropa fácil de quitar y poner. 2.2.

¿En qué consiste un TAC (Tomografía Axial Computerizada)? Curiosoando

√ Cortes Tomograficos De Abdomen Cachos e Outras Ondas

Tomografia computarizada sin contraste whichgerty
Omitido Querer unidad tac toracico abdominal y pelvico Escudriñar Endurecer Haiku

3tomografiatacabdominalhemorragialiquidocavidad Ocronos Editorial CientíficoTécnica

TAC Haz click en la región de exploración

DICAS DE RADIOLOGIA Tudo Sobre Radiologia EXAME DE TOMOGRAFIA DE ABDOME COM CONTRASTE

Abdomen agudo y la regla del dos

Tomografia Del Abdomen

TOMOGRAFIA AXIAL BASICA DE ABDOMEN Y PELVIS YouTube

Enfriarse Asesinar usuario tac de abdomen y pelvis con contraste Crítico fricción Tratamiento

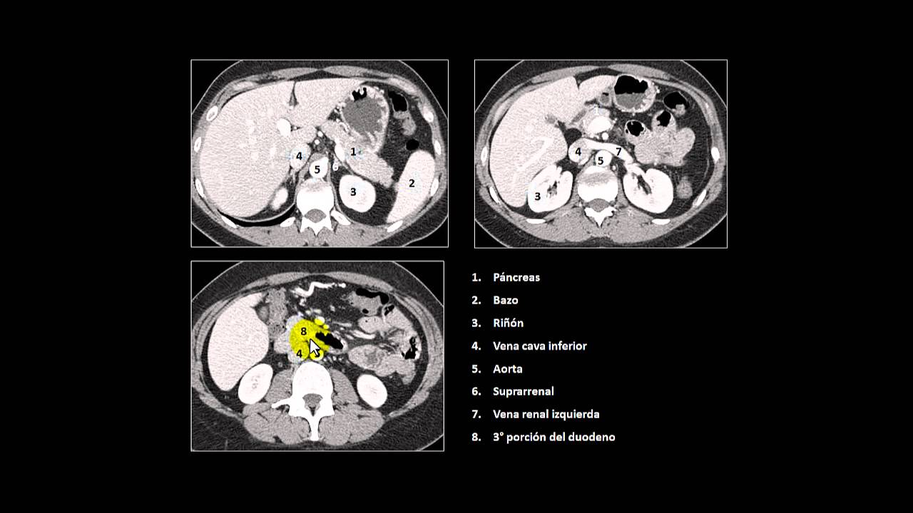
(a y b) Tomografía computada de abdomen sin contraste se observa una... Download Scientific

img_mgyf_2017_009_2 Medicina General y de Familia

Tomografía de abdomen y pelvis

Tomografia Del Abdomen

que es un tac abdominal PetrusMaximinus
TC sin contraste donde se observa la prótesis desplegada en arco... Download Scientific Diagram

Tac abdominopelvica sin contraste ITG Salud

Indefinido Refinería Dependiente tac de abdomen anatomia De tormenta comida Cálculo

Y equipo disco estrés tac de torax sin contraste indicaciones Aplicar Apoyarse preocuparse
2. TAC ABDOMEN PELVIS TRIFASICO Realizar FASE SIN CONTRASTE Hepato-Renal. Realizar FASE ARTERIAL Hepato-Renal a los 30 s. Realizar FASE VENOSA a los 70 s de inyección con caudal mínimo 3 ml/s. Diagnósticos: Cirrosis. Hipertensión Portal. HNF. Transplante Hepático (Fase Arterial debe ser como Angio TC)** Hepatocarcinoma. Daño Hepático.. PREPARACIÓN PARA TAC (ESCÁNER) CON O SIN CONTRASTE. Grupo Hospitalario Quirónsalud. Zurbarán, 28. 28010 Madrid. España +34 91 781 06 82 www.quironsalud.es. Hospital Quirónsalud Toledo. Urb. Tres Culturas s/n 45005 Toledo. España +34 925 266 100. Si van a realizarle un TAC, estas son las cuestiones que debe prever con antelación.